알츠하이머병은 무엇이며 증상과 치료방법은?
by 스다미
알츠하이머병이란?
알츠하이머병은 뇌 신경세포가 서서히 죽어가는 퇴행성 신경 질환으로 이상 단백질(아밀로이드 베타 단백질, 타우 단백질)이 뇌 속에 쌓이면서 생기는 질환입니다. 정상적인 사람이 나이가 들면서 세포가 손상되어 점차 증세가 나타나기 때문에 퇴행성이라는 단어가 붙었습니다.



치매 환자의 50~60% 정도가 알츠하이머병에 의한 치매 증상을 보일 정도로 알츠하이머병은 치매를 유발하는 가장 흔한 원인으로 알려져 있습니다.
알츠하이머병을 유발하는 원인은?
알츠하이머병을 유발하는 확실한 원인이 모두 밝혀진 것은 아니지만 몇 가지 밝혀진 유전자적인 위험 인자가 있습니다. 조발성 가족성 알츠하이머병은 21번 염색체에 있는 아밀로이드 전구단백질(APP) 유전자에 돌연변이가 있으면 65세 이전에 치매가 나타난다고 알려져 있는데 특히, 21번 염색체에 이상이 있는 '다운 증후군'(몽고증) 환자는 중년기가 되면 거의 대부분 알츠하이머병과 같은 뇌의 변화가 나타난다고 합니다.

이외에도 1번 염색체에 있는 PS2 유전자의 돌연변이, 14번 염색체에 있는 PS1 유전자의 돌연변이도 가족성 알츠하이머병을 유발하며, 19번 염색체에는 아포지질단백 E4 대립유전자가 있는데 그것이 가족성 알츠하이머병과 65세 이후에 산발적으로 생기는 만발성 치매의 위험 인자로 작용한다고 합니다.

또한, 이미 알려진 알츠하이머병의 원인인 고령, 다운 증후군, 저학력, 치매의 가족력, 80세 이상의 여성 등이 있으며, 고혈압, 당뇨, 고지질혈증, 비만 등 심혈관 위험 또한 직간접적으로 알츠하이머병의 발병 기전에 관여합니다.
알츠하이머병의 원인은 한 가지 이론으로 설명할 수 있는 통일된 가설은 아직 없으며, 어느 특정 단일 원인에 의한 질환이라기보다는, 신경계 노화 현상이 진행되는 상태에서 유전적 위험 요소와 환경적 위험 인자가 더해진 복합적인 원인에 의해 나타난다고 볼 수 있습니다.
알츠하이머병의 증상

■ 기억 장애
알츠하이머병 환자의 가장 흔한 증상으로 병의 초기에는 새로운 정보의 등록, 저장, 재생(단기 기억)이 어려워지고,
병이 진행하면 오래전에 습득한 장기 기억도 잊어버립니다.
1) 중요한 소지품을 잘 잃어버립니다.
2) 사람 이름을 잘 잊어버립니다.
3) 가스 불에 음식을 올려놓은 것을 잊어버려, 음식을 자주 태웁니다.
4) 같은 말을 반복합니다.
5) 병이 진행하면 자신의 이름, 자신의 얼굴, 가족의 얼굴 등 자신과 관련된 것들을 잃어버립니다.
6) 기억 장애 때문에 일상생활에 문제가 생기는데, 자신이 겪었던 일 자체를 기억하지 못할 수도 있습니다.

■ 언어 장애(실어증)
물건의 이름이 금방 떠오르지 않아 '그런 것' 같은 표현으로 모호하게 돌려 말합니다.
또한, 점점 말이나 글을 이해하는 능력을 잃게 되며 들은 말을 메아리처럼 반복하거나, 같은 소리를 계속 되풀이합니다. 그러다 결국 이런 능력 마저도 잃어버리고 아무 말도 못 하게 됩니다.
■ 실행증
근력(힘)을 쓰는데 이상이 없지만, 요리하기, 세수하기, 옷 갈아입기와 같은 일상적인 동작에 장애를 보입니다.
■ 실인증
시력은 정상이나 사물을 구별하지 못하며, 심한 경우 가족이나 거울에 비치는 자신의 모습을 알아보지 못하게 됩니다.
■ 시공간 능력 장애
방향 감각이 떨어져 잘 알고 다니던 길에서도 길을 잃습니다. 운전 중 접촉사고를 자주 내거나, 익숙한 길에서 방향을 헤매 결국 운전을 하기 어려워집니다.
■ 판단력 장애
계산력이 떨어져 돈 계산을 틀리거나, 드라마나 영화 등의 내용을 잘 이해하지 못하며, 인간관계에서도 곤란한 상황을 빈번하게 만듭니다.
■ 행동 증상, 정신증적 증상
주로 알츠하이머병이 악화된 중기 이후에 보이는 증상으로 환자의 가족들을 곤란하게 만들기 때문에 가장 힘들어 합니다. 텔레비전에서 나오는 인물과 대화하려고 하거나, 거울에 비친 자신을 인식하지 못하고 대화하려는 행동을 하며 초조, 불안, 공격성 증가하기 때문에 환자를 의료 시설에 입원시켜야 할 수 있습니다.
■ 우울 증상
병의 초기증상으로 치매 환자 중 40~80%에서 우울 증상이 나타납니다.
■ 감정 변화
감정 상태가 불안정해지며, 사소한 일에도 화를 자주 내고 쉽게 울거나 웃습니다.
■ 야간 착란
밤이 되면 안절부절못하고, 이리저리 배회하며, 난폭해집니다. 흥분하거나 공격적인 행동을 하며 가출하는 상황이 발생하기도 합니다.
알츠하이머병 진단방법
1. 진단 과정
1) 병력 청취 및 이학적 검사
기억력 저하가 서서히 발생했는지 혹은 갑자기 발생했는지를 알아보며, 고혈압, 심장 질환, 뇌혈관 질환 등의 신체 질환의 존재 유무, 일상생활 기능 정도를 평가합니다. 문진으로 병에 대한 정보를 얻은 후 신체검사, 신경학적 검사, 정신 상태 검사를 시행합니다.

2) 검사실 검사
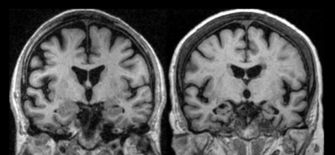
치매 증상을 일으킬 수 있는 신체 질환이 있는지를 혈액 검사, 소변 검사, 흉부 방사선 검사, 심전도 검사 등을 통해 검사하고, 신경 심리 검사를 통해 기억력, 판단력, 언어 능력 등의 인지 기능을 평가합니다. 또한, MRI, CT, PET 등의 뇌 영상검사를 시행하여 뇌의 구조적, 기능적 상태를 평가합니다.
2. 알츠하이머병과 다른 질병 감별 진단
1) 섬망

섬망이란 망상, 불면증, 산만함, 초조함, 환미, 환시, 환청, 환촉, 감각 이상 등의 증상으로 전신 감염, 대사 장애, 저산소증, 저혈당증, 전해질 불균형, 간 질환, 수술 후 상태, 두부 손상 등으로 인해 나타날 수 있습니다.
고령자에게 섬망 증상이 발생하면 갑자기 심한 치매 환자처럼 보일 수 있지만 섬망의 경우 갑자기 발병하며, 원인 증상을 교정하면 호전될 수 있다는 점에서 치매와 구별됩니다.
2) 가성 치매

환자들은 기억력 저하를 호소하며, 기억 장애에 대해 실제보다 더욱 걱정을 많이 하는 경향을 보이는데, 그 중 가성치매는 치매와 유사하지만 뇌 병변이 없는 기능성 장애입니다.
우울증 환자에게 나타나는 증상으로 인지 장애가 감소되는 것에 비하면 사회생활 및 대인관계에 잘 적응하는 편입니다. 또한, 가성 치매는 항우울제 투약으로 호전될 수 있습니다.
3) 기타 신체 질환
감염성 질환, 영양 결핍, 갑상선기능저하증, 투석, 물리적 뇌손상, 정상압 수두증, 약물 및 독소 등으로 치매와 유사한 증상이 발생할 수 있습니다.
알츠하이머병 치료방법
현재까지 알츠하이머병에 대한 치료는 근본적으로 병을 치료하는 것이 아니며, 콜린성 신경 전달 기능을 강화하는 데 치료의 중점을 두어 기억력을 포함한 인지 기능을 개선하고자 합니다.

1. 약물 치료
콜린성 약제, NMDA 수용체 차단제 등을 사용하여 신경 인지 기능 활성 할 수 있습니다. 또한 치매로 인해 나타나는 정신 증상을 치료하기 위해 항우울제, 항정신병 약물 등을 사용하기도 합니다.
2. 기타 접근 방법
알츠하이머병은 현재까지 발생 기전이 확실히 규명되지 않았을 뿐만 아니라, 획기적 치료제도 개발되지 않고 있기 때문에 환자가 기본적인 일상생활을 최대한 스스로 유지할 수 있도록 작업 요법, 인지 기능 강화 요법 등을 제공하여 삶의 질을 향상시킬 수 있도로고 도와줍니다.
신장 결석의 원인과 증상은 무엇이며, 치료방법은 어떤 것이 있을까?
신장 결석 이란? 신장 결석은 신장 안에 형성된 돌을 말하며, 소변 안에 들어있는 물질들이 결정을 이루고 침착이 되어 마치 돌과 같은 형태로 콩팥 안에 생기는 질환으로 합병증을 일으 킬 수
dxeing.com
암 원인과 예방 수칙 10가지 알아보기
암 이란? 여러 가지 원인으로 인해 세포가 정상적으로 분화하지 않고, 계속해서 성장하는 것을 종양(tumor)이라 합니다. 종양에는 양성종양과 악성종양이 있는데, 이중 악성종양을 암이라고 합니
dxeing.com
경동맥 협착증은 무엇이며 원인과 진단 그리고 치료방법을 알아봅니다.
경동맥 협착증 이란? 경동맥은 심장과 뇌를 이어주는 양측 목 부분의 동맥으로 뇌로 가는 혈류의 약 80%를 보내는 중요한 혈관입니다. 이 혈관 내에 동맥경화가 진행되면서 혈관이 좁아지고 막
dxeing.com
뇌출혈의 원인과 전조증상, 뇌출혈 수술비용, 뇌출혈 치료비용, 예방법 등 총정리
겨울 추운 공기가 불어오기 시작하고, 본격적인 한파에 대비해야 하는 이 시기에 더욱 주의가 필요한 질병이 바로 뇌출혈입니다. 뇌출혈은 빠른 치료가 중요한 질환인 만큼 초기 증상과 대처
dxeing.com
고혈압 증상과 치료방법, 고혈압 식단 짜는 방법
고혈압 이란? 고혈압은 혈압이 수축기 혈압이 140mmHg 이상이거나 이완기 혈압이 90mmHg 이상일 때를 의미합니다. 혈압은 동맥혈관 안의 혈액의 압력을 말하며, 수축기 혈압은 심장이 수축하여 동
dxeing.com
'잡지식 > 건강상식' 카테고리의 다른 글
| 간 건강을 위한 필수 가이드: 전문가들이 권장하는 간에 좋은 음식 (0) | 2023.04.27 |
|---|---|
| 기침이 오래간다면 만성기침을 의심해보자! 만성기침 원인과 치료방법 (1) | 2021.02.23 |
| 신장 결석의 원인과 증상은 무엇이며, 치료방법은 어떤 것이 있을까? (0) | 2021.01.05 |
| 암 원인과 예방 수칙 10가지 알아보기 (1) | 2020.12.22 |
| 경동맥 협착증은 무엇이며 원인과 진단 그리고 치료방법을 알아봅니다. (1) | 2020.12.07 |
사이트의 정보
기적이란없다
스다미